Loét aphthe (áp-tơ) miệng là tổn thương loét đau ở miệng với vết loét nhỏ dưới 1cm, hình bầu dục hoặc tròn có bờ màu đỏ.
Loét aphthe (áp-tơ) miệng là tổn thương loét đau ở miệng với vết loét nhỏ dưới 1cm, hình bầu dục hoặc tròn có bờ màu đỏ. Vị trí thường thấy ở phần niêm mạc phía trong của miệng. Khoảng 20 - 40% dân số bị loét áp-tơ ít nhất một lần trong đời, nhiều người có thể bị tái phát rất nhiều đợt. Bệnh xảy ra nhiều nhất ở tuổi thanh thiếu niên và ít gặp hơn ở người lớn tuổi. Người da trắng, người có điều kiện kinh tế xã hội cao dễ mắc bệnh hơn. Bệnh không lây truyền.
Các yếu tố liên quan gây loét miệng
Hiện nay vẫn chưa biết rõ nguyên nhân gây khởi phát bệnh loét áp-tơ, nhưng người ta biết đến nhiều yếu tố gây khởi phát loét miệng: chấn thương miệng, rối loạn nội tiết do chu kỳ kinh nguyệt ở nữ, rối loạn lo âu hoặc stress, di truyền, do tác dụng của một số loại thuốc như thuốc kháng viêm ibuprofen, atenolol…Do dị ứng hoặc nhạy cảm với thực phẩm như chocolate, cà chua, dứa… và các chất bảo quản thực phẩm như benzoic acid, cinnamaldehyde, kem đánh răng có chứa sodium lauryl sulfate.
Do thiếu sắt, folic acid hoặc vitamin B12. Những nghiên cứu gần đây cho thấy việc điều trị triệt để Helicobacter pylori có thể làm giảm triệu chứng hoặc chấm dứt hoàn toàn các đợt tái phát loét áp-tơ ở một số bệnh nhân. Loét áp-tơ miệng tái diễn có thể kết hợp với bệnh viêm đại tràng, bệnh Crohn, bệnh viêm loét đại tràng, sự xuất hiện của loét áp-tơ là dấu hiệu cảnh báo cho một đợt viêm loét đại tràng mới.

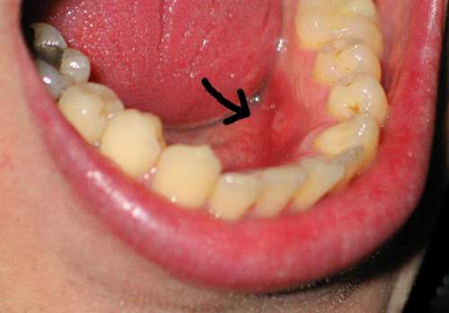
Một vết loét áp-tơ ở mặt trong lợi..
Biểu hiện loét áp-tơ miệng
Tổn thương loét áp-tơ có nhiều dạng, có thể xuất hiện ở bất cứ vị trí nào trong miệng, nhưng không thấy ở mặt trên lưỡi, môi và vòm khẩu cứng. Những vết loét áp-tơ nhẹ có hình tròn với đường kính nhỏ hơn 10mm. Hầu hết vết loét có đường kính từ 2-3mm, trung tâm màu trắng. Các vết loét này thường gây đau và tự biến mất sau 3 - 14 ngày, không để lại sẹo. Những vết loét áp-tơ nặng thường tổn thương sâu hơn và có đường kính trên 1cm trở lên.

Vết loét sâu thường rất đau, có bờ không đều, chỉ khỏi sau từ 3 - 6 tuần, khi lành để lại sẹo. Dạng loét áp-tơ gọi là “dạng herpes” vì giống nhiễm herpes gồm nhiều vết loét nhỏ và nông, có đường kính bằng đầu kim từ 1 - 3mm, từng cụm vết loét nhỏ này có thể kết hợp với nhau để hình thành vết loét lớn có bờ không đều, kéo dài từ 7 - 10 ngày. Loét áp-tơ miệng thường hay tái phát, có người bị vài lần trong năm, nhưng một số bệnh nhân lại bị loét thường xuyên.
Loét áp-tơ miệng cần phân biệt với loét do herpes hoặc nhiễm nấm, loét do chấn thương. Với vết loét lâu lành có thể là dấu hiệu của một bệnh ác tính. Loét áp-tơ “dạng herpes” được phân biệt với loét do herpes thật sự là không xuất hiện các mụn nước nhỏ trước khi loét xảy ra.
Lưu ý trong điều trị
Tuy không thể chữa khỏi hẳn, nhưng điều trị có thể giúp giảm bớt triệu chứng, giảm khả năng tái phát và kéo dài thời gian không bị bệnh. Thuốc có thể dùng là: nitrate bạc bôi lên tổn thương, giúp bớt đau ngay sau khi bôi và lành vết loét trong vòng 3 - 5 ngày. Kem triamcinolone acetonide: bôi lên tổn thương ngày 3 lần, tốt nhất là sau các bữa ăn chính và trước khi đi ngủ. Amlexanox: bôi ngày 4 lần, sau khi ăn và trước lúc ngủ. Dung dịch tetracycline dùng súc miệng có thể giúp giảm đau và lành loét nhanh chóng.
Không nên dùng quá 5 ngày vì thuốc có thể tạo điều kiện cho nấm phát triển. Gel 2% lidocaine bôi vết loét ngày 4 lần… Có thể bổ sung folic acid, sắt hoặc vitamin B12. Chlorhexidine: dung dịch súc miệng sát khuẩn giúp mau lành loét. Đối với người bị loét lần đầu, nên đi khám để xác định chẩn đoán, loại trừ các bệnh nguy hiểm khác có triệu chứng giống loét áp-tơ. Những bệnh nhân tái phát nhiều lần, cần trao đổi với bác sĩ.

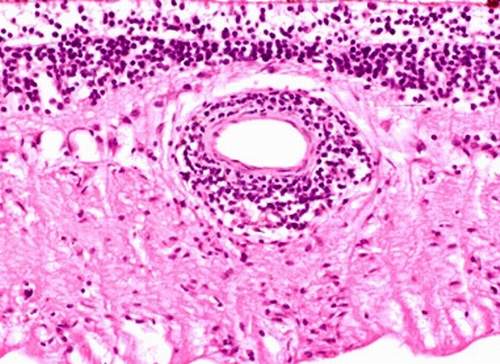
Tiêu bản tổn thương loét miệng áp-tơ.
Biện pháp phòng tránh loét miệng
Để phòng tránh loét miệng, bệnh nhân cần tránh chấn thương dù rất nhẹ ở miệng như cẩn thận khi dùng bàn chải đánh răng, khi ăn các loại thức ăn cứng. Nhiều bệnh nhân có thể tái phát loét áp-tơ sau khi gặp stress nên cần giảm thiểu gặp stress. Không dùng các loại kem đánh răng có chứa sodium lauryl sulfate nếu thường xuyên bị loét áp-tơ. Khám và điều trị chỉnh hình các bề mặt răng không đều. Bổ sung các chất sắt, folic acid hoặc vitamin B12 nếu bị thiếu.
Muốn phòng tránh bệnh nặng, bệnh nhân cần đi bệnh viện khám bệnh khi thấy các dấu hiệu sau đây: bị viêm loét miệng lần đầu tiên; đau ngày càng nhiều; bệnh nhân có tiêu chảy vì có thể bị mắc bệnh Crohn hoặc viêm loét đại tràng; có những ổ loét ở vị trí khác ngoài miệng; vết loét kéo dài trên 3 tuần…
ThS. Nguyễn Hoàng Lan